Man Gets 80cm Earphone Wire Stuck In Bladder After Using It While M*sturbating

A man has been hospitalized after using an 80cm earphone wire while m*sturbating and ended up getting it stuck in his bladder.
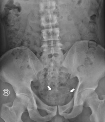
The 34-year-old was admitted to the emergency department of Dr Soetmo General-Academic Hospital in Surabaya, Indonesia, after complaining of stomach pains when urinating.
He revealed to doctors that he had inserted an earphone wire into his urethra between 3-5 times a week while m*sturbating.
Doctors who checked out the bloke say they didn’t find any signs of psychotic symptoms, OCD, anxiety or depression.
The strange insertion was carried out “based on s3xual pleasure and gratification,” and the wire that had lodged itself in his bladder was “visible and quickly identified” by the hospital team.
The wire had been coiled and fortunately not attached to the bladder wall, with an extraction carried out using grasping forceps, while the earphone wire was said to be 2-3mm in size and 80cm in length.
The man was discharged the next day with no reported bladder residue and was later diagnosed with polyembolokoilamania, the act of inserting foreign items into orifices such as the rectum or v*gina.
According to a medical journal published on Science Direct, the man “showed no apparent psychotic behaviours and was mentally well”.
The journal states: “Self-inserted urinary bladder foreign bodies for s3xual gratification generate a significant challenge for physicians due to its difficult diagnosis and management.
“Most patients were late to be admitted due to embarrassment leading to serious short-term and long-term complications. We report a 34-year-old male with an earphone wire as a urinary bladder foreign body.
“The findings in the patient were compared with the currently published reports through a comprehensive literature review to evaluate the current strategy for diagnosis and management for self-inserted genitourinary foreign bodies to achieve s3xual pleasure.”
Now Playing: Love Bug
Aretti Adi
SPONSORED LINKS
LOAN FOR TRAVEL, VISA, JAPA, PoF UP TO N200M (CLICK HERE)
[CLICK HERE] For Music Artwork, Website Design And SEO Setup
INSTALL 9JAFLAVER MUSIC APP, STREAM, DOWNLOAD, AND PLAY MUSIC OFFLINE
CHECK OUT FUNNY PICTURE AND MEME HERE (CLICK HERE)
Chissom Anthony – Glory To God In The Highest [See Trending Gospel Song]
Copyright © 2014-2026 9jaflaver. All Rights Reserved.
About us | DMCA | Privacy Policy | Contact us
| Advertise| Request For Music | Terms Of Service
9jaflaver is not responsible for the content of external sites.